
インプラント治療とは、歯を失ってしまった部位に生体親和性に優れた人工歯根を顎の骨に埋め込むことによりかみ合わせや審美などの機能を取り戻す治療です。
当院では患者さんの本来の歯をなるべく抜かずに守る治療をいたしますが、どうしても抜歯しなければならなかった場合には、その部分にインプラント治療をすることで、本来の歯と同じように痛みも少なく、よく噛むことが出来るようになります。 同時に他の歯を守り、咬み合わせを維持するためにも非常に有効です。
当院ではインプラント専門医による治療を20年以上継続しており、長期安定により患者さんに喜ばれております。

私は大学卒業後、患者さんの大切な歯を少しでも長く残す治療を追求したいという想いから、診療の傍ら大学病院の保存科に所属し、歯周病や根管(神経)の治療を中心に学び続けてきました。また、義歯(入れ歯)やブリッジ、歯周補綴などの補綴治療についても幅広く研鑽を積んできました。
歯周病や根の治療を重ね、専門的な技術を身につける中で、私はある課題に直面しました。それは、欠損部にブリッジや入れ歯を入れることで、治療した健康な歯に負担がかかり、結果的に再び歯を失ってしまうということです。
せっかく保存できた歯が、補綴によって再びリスクにさらされる。このジレンマを強く感じるようになり、インプラント治療の必要性を実感しました。
しかし当時の日本では、インプラント治療はまだ発展途上。私は思い切ってアメリカ・ニューヨーク大学に渡り、インプラント治療の世界的権威の先生方から2年間にわたり最新の知識と技術を学びました。帰国後、本格的にインプラント治療を導入し、日本ではインプラント学会専門医、米国では国際インプラント学会指導医の資格を取得しました。
20年以上にわたるインプラント治療の経験の中で、私が最も実感しているのは、「歯を抜くケースが劇的に減った」ということです。インプラント治療を選択肢に持つことで、歯周病や根の治療の効果も高まり、より多くの歯を長期的に維持できるようになったと確信しています。

当院では、「患者さんの歯をできるだけ抜かずに守ること」を治療方針の中心に据えています。
しかし、やむを得ず抜歯が必要となるケースでは、インプラント治療を第一選択肢の一つとしてご提案しております。
私がこれまでに積み重ねてきたインプラント治療の臨床経験から申し上げられるのは、専門的かつ適切なインプラント治療を受ければ、ご自身の歯と同じように長期間にわたって安定して使い続けることができるということです。
「インプラントは長持ちしない」といった誤解をされている方もいらっしゃいますが、決してそのようなことはありません。
一方で、ブリッジや入れ歯による治療は、周囲の歯への負担や再治療のリスクを伴う場合があり、結果的に多くの歯を失うことにつながることもあります。長期的に見れば、インプラントの方が治療費を抑えられるケースも少なくありません。
当院では、治療において患者さんの意思を何より大切にしております。インプラントだけを無理におすすめすることはありません。
ブリッジ、入れ歯を含むいくつかの治療オプションをご提示した上で、それぞれのメリット・デメリットを丁寧にご説明し、患者さんが納得できる方法を一緒に選んでいきます。

市川市本八幡の歯医者「田歯科医院」の院長はインプラント専門医です。日本口腔インプラント学会専門医であるとともに、世界最大のインプラント学会である国際インプラント学会(ICOI)でフェロー(専門医)、ディプロメイト(指導医)の称号を取得しています。
「インプラント専門医」の資格を有する歯科医師は決して多くありません。正確で精密な治療計画や手術が求められるインプラント治療。豊富な知識と実績・経験のある専門医なら安心です。これまでのインプラント治療の成功率は95%以上です。

インプラントは、埋入(インプラント体を骨に埋める処置)だけで完結するものではありません。歯を支える歯周組織の診断や、噛む力のバランスを考慮した補綴設計(人工の歯を装着する工程)など、多くの要素を組み合わせた「総合的な治療」が求められます。どれか一つの技術だけでは、インプラントを長く機能させることはできません。

インプラントは一度埋入すれば、何十年も使い続けることが期待される医療機器です。そのため、世界的に実績のある一流メーカーの製品を選ぶことが、将来的な安心にもつながります。
当院では、長期的な安定性やサポート体制の整った信頼できるメーカー製インプラントを採用しています。
患者さんのお口の中の全体を検査します。インプラント治療は手術をともないますので身体の健康状態もお伺いします。持病の種類などによっては、治療できない場合があります。
模型の作製や歯科用CTによる精密検査を行い、使用するインプラント体の種類や方法を決定。治療計画を立て、患者さんにお口の状態を丁寧にご説明し、ご質問などにはわかりやすくお答えします。患者さんにご納得いただけましたら治療の開始です。
インプラント埋入手術にかかる時間はインプラント1本、だいたい20分です。術後の痛みや腫れは、埋入本数や個人差により異なりますが、抜歯をする程度だとお考えください。インプラントが顎の骨の中で安定するまで6週間から4ヶ月ほどかかります。その間は仮歯を使用していただきますのでご安心ください。
インプラントが安定したら型取りを行い、その上に装着する人工歯を作製し装着します。
インプラントを長持ちさせるためには、毎日のブラッシングなどのセルフケアとともに定期的な歯科医院でのプロフェッショナルケアが欠かせません。患者さんのお口の状態に合わせ、口腔内チェックと歯のクリーニングを行うメインテナンスプランを作成します。
当院のインプラント治療は、単に歯を補うことだけがゴールではありません。
治療直後の美しさと機能性はもちろんのこと、その後も長期にわたって快適な状態を維持していただけることを何よりも大切にしています。
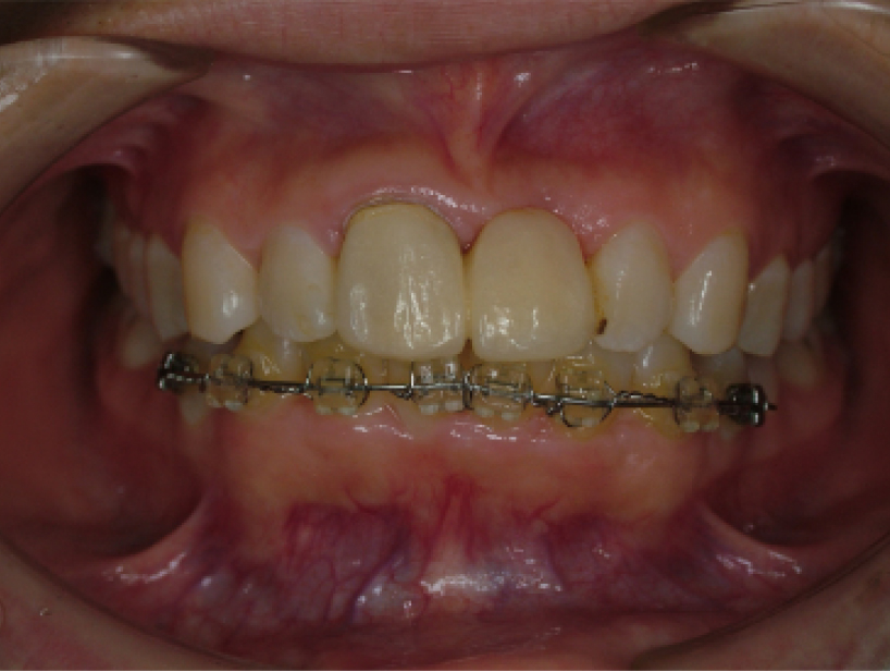
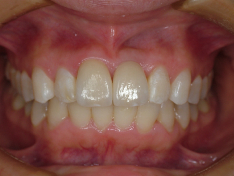
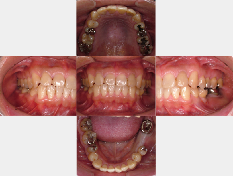
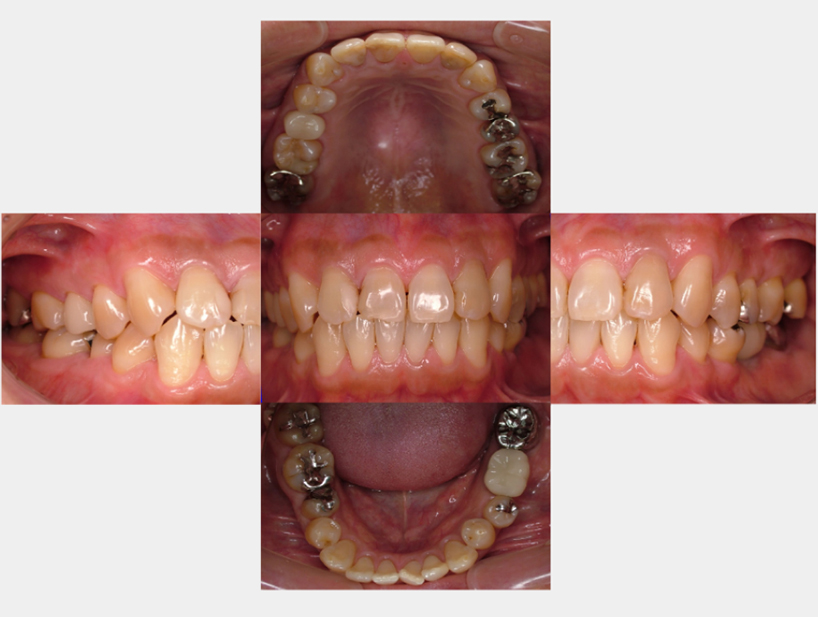
治療前治療後




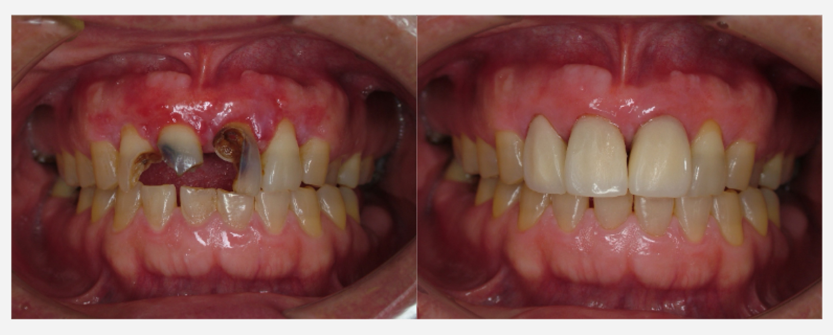
| 治療内容 | 前歯インプラント治療/下前歯矯正治療 |
|---|---|
| 患者様の年齢 | 19歳 |
| 患者様の性別 | 女性 |
| 治療期間 | 1年 |
| 治療回数 | 矯正治療合わせて45回程度 |
| 治療費用 | インプラント治療50万円/矯正15万円 |
| 治療で得られるメリット |
|
| 治療する際に起こる リスク・副作用 |
|
治療前治療後




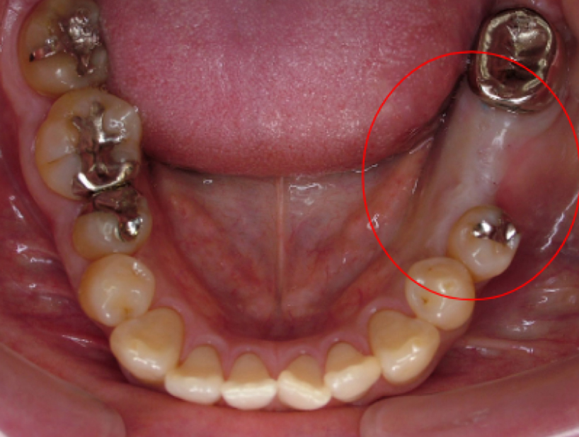
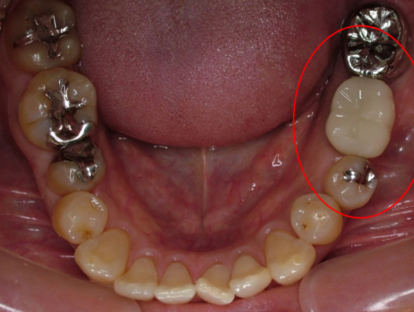
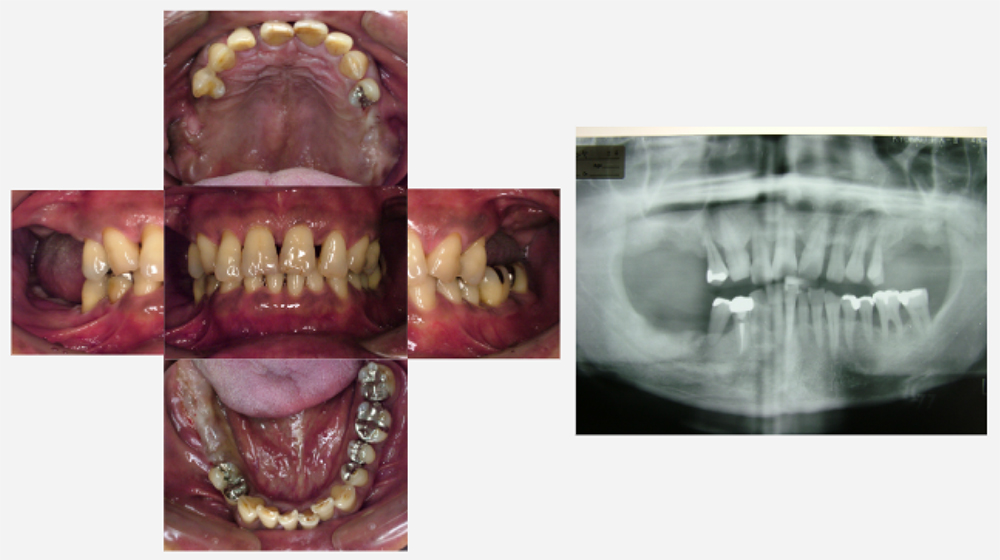
| 治療内容 | インプラント奥歯1本 |
|---|---|
| 患者様の年齢 | 48歳 |
| 患者様の性別 | 男性 |
| 治療期間 | 5ヶ月 |
| 治療回数 | 25回程度 |
| 治療費用 | 50万円 |
| 治療で得られるメリット |
|
| 治療する際に起こる リスク・副作用 |
|
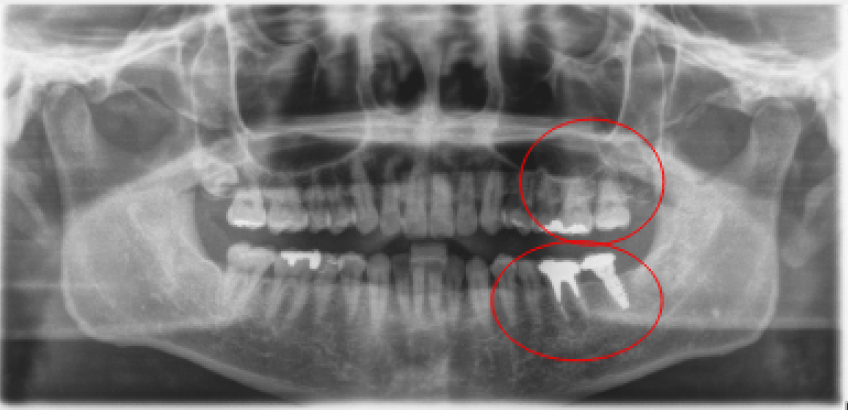
治療前治療後


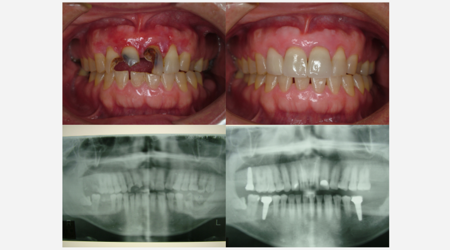
| 治療内容 | インプラント奥歯1本・根管治療・矯正治療(圧下) |
|---|---|
| 患者様の年齢 | 40歳 |
| 患者様の性別 | 男性 |
| 治療期間 | 1年 |
| 治療回数 | 矯正治療合わせて50回程度 |
| 治療費用 | 根管治療1歯6万円/インプラント治療1歯50万円 矯正治療:1歯 10万円 |
| 治療で得られるメリット |
|
| 治療する際に起こる リスク・副作用 |
|
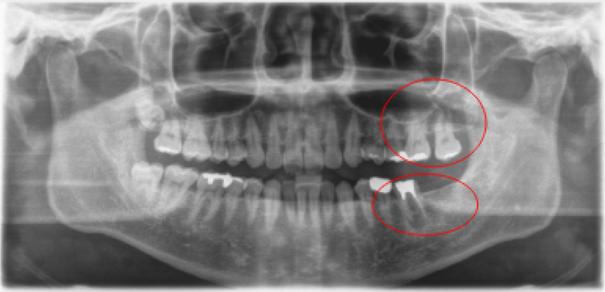
治療前治療後


| 治療内容 | インプラント奥歯1本・根管治療6歯 |
|---|---|
| 患者様の年齢 | 54歳 |
| 患者様の性別 | 女性 |
| 治療期間 | 2年 |
| 治療回数 | 根管治療合わせて70回程度 |
| 治療費用 | インプラント1歯 50万円/根管治療6歯 30万円 |
| 治療で得られるメリット |
|
| 治療する際に起こる リスク・副作用 |
|
2008年03月 初診時

2008年06月 歯周基本治療終了後

2016年6月 約4年経過

2023年12月 上顎残存歯
最終補綴処置終了後 約2年経過

| 治療内容 | 重度歯周病・インプラント・矯正治療 |
|---|---|
| 患者様の年齢 | 52歳 |
| 患者様の性別 | 男性 |
| 治療期間 | 初診時より4年 |
| 治療回数 | 矯正治療・歯周治療・インプラント治療合わせて130回程度 |
| 治療費用 | インプラント:約450万円/歯周病:15万円 矯正:15万円/補綴治療:110万円 |
| 治療で得られるメリット |
|
| 治療する際に起こる リスク・副作用 |
|
治療前

治療経過

術後3ヶ月 仮歯装着

術後1年後

治療前と治療後

| 治療内容 | 歯周外科:歯肉弁根尖側移動術 (Apically Positioned Flap Operation) |
|---|---|
| 患者様の年齢 | 35歳 |
| 患者様の性別 | 男性 |
| 治療期間 | 初診時より2年 |
| 治療回数 | 矯正治療合わせて85回程度 |
| 治療費用 | インプラント:150万円/歯周外科:3万円/補綴治療:50万円 |
| 治療で得られるメリット |
|
| 治療する際に起こる リスク・副作用 |
|
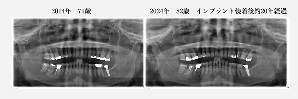
当院で20年以上メインテナンスをしていて、歯を抜くこともなく、
80歳を過ぎてもご自分の歯で美味しく食事ができています。
(デジタルレントゲン導入(2011年)後のレントゲン写真のみとなります)
現在82歳の女性

現在82歳の女性

現在88歳の女性

現在89歳の女性


インプラント治療というとセラミックの人工歯を被せるイメージが強いかもしれませんが、上記の症例のように歯科用磁石を使用したマグネットデンチャーの作製も可能です。この場合インプラントの埋入本数も少なくて済みますし、その分、治療費も抑えられます。失ってしまった歯の機能を補う方法はさまざまあります。当院では、患者さんとよく話し合い、ご納得いただける治療を進めていきますので、歯が抜けてしまった方も入れ歯でお困りの方も、まずはお気軽にご相談ください。